
기흉(Pneumothorax)은 폐와 흉벽 사이의 공간(흉강)에 공기가 비정상적으로 유입되어 폐가 수축하거나 주저앉는 상태를 말합니다. 폐가 눌려 정상적인 기능을 하지 못하게 되면 호흡곤란, 흉통 등 심각한 증상을 유발할 수 있으며, 때로는 생명을 위협할 수 있는 응급 상황이 되기도 합니다. 기흉은 젊고 마른 체형의 남성에게 자주 발생하는 자발성 기흉부터 외상, 질병, 의료 시술에 의해 발생하는 이차성 기흉, 긴장성 기흉 등 다양한 형태로 나타납니다. 본 글에서는 기흉의 정의와 분류, 주요 원인, 증상, 진단, 치료 방법, 재발 방지 및 일상관리 방법까지 총체적으로 자세히 살펴보겠습니다.
기흉의 정의와 종류
기흉은 폐와 흉벽 사이에 존재하는 ‘흉막강’에 공기가 차는 상태로, 이로 인해 폐가 정상적으로 팽창하지 못하고 가라앉게 됩니다. 이로 인해 폐활량이 감소하고, 산소 교환이 어려워지며 다양한 호흡기 증상이 발생합니다. 기흉은 크게 다음과 같이 분류할 수 있습니다. 1. 자발성 기흉 (Primary Spontaneous Pneumothorax)
- 외상이나 폐질환 없이 갑자기 발생하는 기흉
- 주로 키가 크고 마른 체형의 10~30대 젊은 남성에게 자주 발생
- 흡연, 유전, 폐의 해부학적 이상 등이 원인으로 작용할 수 있음
2. 이차성 기흉 (Secondary Spontaneous Pneumothorax)
- 기존에 폐질환(만성 폐쇄성 폐질환, 결핵, 폐기종, 섬유화 등)을 앓고 있는 환자에게 발생
- 고령층에게 흔하며, 증상이 자발성보다 더 심각하고 치료가 어려움
3. 외상성 기흉 (Traumatic Pneumothorax)
- 교통사고, 추락, 총상, 칼에 의한 자상 등 외부 외상으로 인해 발생
- 의료 시술(기관 삽관, 중심정맥관 삽입 등) 도중에도 발생할 수 있음
4. 긴장성 기흉 (Tension Pneumothorax)
- 공기가 일방적으로 흉강에 유입되고 빠져나가지 못해 압력이 상승
- 폐를 심하게 압박하고, 심장과 혈관까지 눌려 심장 기능 저하 발생 가능
- 응급 상황으로 즉시 치료가 필요함
기흉의 형태와 원인에 따라 증상의 강도와 치료 방법도 달라지므로, 정확한 진단과 분류가 중요합니다.
기흉의 주요 원인과 발생 기전
기흉의 발생은 흉막이 손상되어 공기가 폐에서 흉막강으로 새어 들어오거나, 외부에서 공기가 유입되어 발생합니다. 다음은 기흉의 주요 원인들입니다. 1. 자발성 기흉의 원인
- 선천적으로 폐의 꼭대기 부분에 ‘기포(Bleb)’ 또는 ‘공기낭(Bulla)’이 존재할 수 있음
- 이 기포가 파열되면 흉막이 찢어지면서 공기가 흉막강으로 유입됨
- 일반적으로 키가 크고 마른 사람은 폐 상단의 기압 차가 더 커져 기포가 잘 생김
- 흡연은 기포 형성을 촉진하고, 기흉 발생률을 9~20배까지 높임
2. 이차성 기흉의 원인
- 만성 폐쇄성 폐질환(COPD): 폐조직이 손상되면서 약해진 부위가 터짐
- 폐결핵, 폐섬유화증, 폐기종, 기관지 확장증 등 만성 폐질환
- 기저 폐질환이 있는 경우 폐의 회복력이 낮아 기흉이 쉽게 발생
3. 외상성 및 시술성 기흉
- 교통사고, 추락 사고, 흉부 외상 등으로 갈비뼈가 폐를 찌르거나 흉막이 손상될 때
- 병원 시술 중 실수로 폐를 찌르게 되는 경우: 중심정맥관 삽입, 흉강천자 등
4. 긴장성 기흉의 발생 기전
- 일방향 판막 효과에 의해 공기는 들어오지만 나가지 못함
- 흉막강 내 압력이 상승하여 반대쪽 폐와 심장까지 압박
- 호흡부전 및 심정지 가능성으로 즉시 응급 처치 필요
5. 기타 요인
- 유전적 요인: 마르판 증후군, Ehlers-Danlos 증후군 등 결합조직 이상
- 비행기 탑승, 고산지대 여행, 다이빙: 기압 변화로 인한 기포 파열 유도
기흉은 단순히 ‘폐에 바람이 들었다’는 개념을 넘어서 다양한 원인과 복합적 기전에 의해 발생하며, 원인에 따라 치료와 관리 전략이 달라져야 합니다.
기흉의 주요 증상과 진단 방법
기흉은 그 종류에 따라 증상의 정도가 다르지만, 공통적으로 다음과 같은 증상이 나타납니다. 기흉의 주요 증상:
- 갑작스러운 흉통: 대개 한쪽 가슴, 날카롭거나 압박감 있는 통증
- 호흡곤란 또는 숨 가쁨: 폐가 수축되어 산소 교환 감소
- 마른기침 또는 얕은 호흡
- 피로감, 어지러움
- 피부 창백 또는 청색증(산소 부족으로 인한 피부 변화)
- 심한 경우 혈압 저하, 의식 소실 (긴장성 기흉)
진단 방법:
1. **청진:** 한쪽에서 숨소리가 감소 또는 소실됨
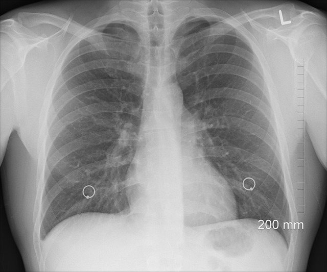
2. **흉부 X-ray:** 기흉 진단의 기본 검사. 공기로 찬 흉막강 확인
3. **CT 촬영:** 작은 기포, 재발성 기흉 원인 파악에 유용
4. **산소포화도 측정:** 산소 교환 기능 확인
5. **혈액 가스 검사:** 산소, 이산화탄소 농도 측정
조기에 정확한 진단이 이루어질수록 합병증을 줄이고 회복 속도를 높일 수 있으므로, 기흉 의심 시 지체하지 말고 병원을 방문해야 합니다.
기흉의 치료 방법
기흉의 치료는 기흉의 크기, 증상의 정도, 기저 폐질환 유무, 환자의 전신 상태 등을 고려하여 결정됩니다. 기본적인 치료 방법은 다음과 같습니다. 1. 보존적 치료 (자연 회복)
- 기흉의 크기가 작고 증상이 경미한 경우
- 1~2주간 휴식, 산소 흡입 치료만으로도 자연적으로 공기 흡수 가능
- 반복적인 흉부 X-ray로 공기량 감소 여부 확인
2. 흉강천자(흡인 치료)
- 주사기로 공기를 직접 빼내는 방법
- 기흉 크기가 중등도이고 환자의 증상이 명확할 때 적용
- 간단하지만 재발률이 높을 수 있음
3. 흉관 삽입 (Chest Tube Insertion)
- 기흉이 크거나 호흡곤란이 동반되는 경우
- 흉벽에 튜브를 삽입하여 공기를 지속적으로 배출
- 입원 기간이 필요하며, 흉관 위치 및 감염 관리 중요
4. 수술 치료 (폐기포 제거술, 흉막유착술 등)
- 기흉이 반복적으로 재발하거나, 한쪽 또는 양쪽에서 자주 발생할 때
- 비디오 흉강경 수술(VATS)을 통해 기포를 제거하고 흉막을 유착시킴
- 재발률을 크게 줄일 수 있으며, 젊고 건강한 환자에게 권장됨
5. 긴장성 기흉의 응급 처치
- 즉각적인 흉강 천자 또는 튜브 삽입
- 생명을 위협하므로 응급실에서 신속히 대응해야 함
기흉은 치료 이후에도 재발 가능성이 높기 때문에, 치료 종료 후에도 주기적인 경과 관찰과 관리가 필요합니다.
기흉 치료 이후의 재발 방지 및 일상관리
기흉은 한번 발생하면 재발 위험이 매우 높은 질환으로, 재발률은 자발성 기흉의 경우 첫 발생 후 30~50%에 이릅니다. 특히 2회 이상 재발 시 수술적 치료를 고려해야 하며, 일상에서의 관리가 매우 중요합니다. 1. 금연
흡연은 기포 형성을 촉진하고, 기흉의 재발률을 10배 이상 높이는 것으로 알려져 있습니다. 금연은 가장 확실한 예방 수단입니다. 2. 격한 운동 및 무리한 동작 자제
웨이트 트레이닝, 스쿠버다이빙, 고산 등산, 격투기 등은 폐 내 압력을 급격히 변화시켜 기흉을 유발할 수 있습니다. 기흉 병력이 있는 경우 반드시 전문의 상담 후 활동을 결정해야 합니다. 3. 비행기 탑승 주의
기압이 급격히 변하는 환경에서는 잔존 기포가 터질 위험이 있습니다. 기흉 치료 후 최소 2~4주간은 비행을 피해야 하며, 수술을 받은 경우에는 회복 상태에 따라 비행 가능 여부를 의사와 상담해야 합니다. 4. 적절한 체중 유지
지나치게 마른 체형은 기포 형성과 기흉 발생과 관련이 있으므로, 적절한 영양 섭취와 체중 관리가 필요합니다. 5. 정기적인 영상 검사
기흉 치료 후에는 X-ray 또는 CT를 통해 기포의 유무 및 상태를 확인해야 하며, 특히 양측성 기흉이 있거나 반복성 기흉 병력이 있다면 정기적인 추적관찰이 필요합니다. 6. 수분 및 영양 관리
폐 건강을 위해 충분한 수분 섭취와 항산화 성분이 풍부한 식단을 유지해야 합니다. 특히 비타민 C, E, 오메가-3, 셀레늄 등이 풍부한 음식은 폐 조직 회복에 도움을 줍니다. 7. 스트레스 관리 및 수면
면역력과 회복력을 높이기 위해 규칙적인 수면과 스트레스 관리는 필수입니다. 기흉은 처음 발생했을 때의 공포감과 불편함이 크지만, 올바른 치료와 생활 관리로 대부분의 환자가 정상적인 일상으로 복귀할 수 있습니다.
기흉은 젊은 사람에게도 갑작스럽게 발생할 수 있는 흔한 흉부 질환 중 하나이며, 자칫 방치할 경우 생명에 위협이 될 수 있는 응급 질환입니다. 그러나 조기에 발견하고 적절한 치료를 받는다면 대부분 완전히 회복할 수 있으며, 수술을 통해 재발도 효과적으로 예방할 수 있습니다. 특히 금연, 무리한 활동 자제, 정기적인 검사와 같은 생활 관리만으로도 재발 가능성을 크게 낮출 수 있습니다. 기흉의 치료와 관리는 단순히 병을 고치는 것이 아니라, 환자의 삶의 질을 회복하고 미래의 위험을 줄이는 중요한 과정입니다. 평소 폐 건강에 대한 관심을 기울이고, 증상이 의심되면 즉시 병원을 방문하는 습관이 건강한 삶의 첫걸음이 될 수 있습니다.